El óptimo diagnóstico de la migraña sigue siendo una necesidad insatisfecha
 

Muchos pacientes permanecen SUBDIAGNOSTICADOS

En un estudio con 1.476 pacientes con migraña crónica (MC) se observó:

Se estima que el 34% de los pacientes que la padecen visitan de 4 a 8 especialistas antes de obtener un diagnóstico correcto.

En promedio, un paciente de MC se puede demorar 9 años en ser diagnosticado.¹

¿Qué dice la encuesta EPISCOPE sobre la migraña?

El subdiagnóstico de la migraña crónica (MC) es una preocupación general. La encuesta EPISCOPE2, la más grande sobre este tema entre pacientes en Alemania, que se llevó a cabo de enero-marzo 2019.

  • El 54% (N = 8558) recibió el diagnóstico dentro de los dos años posteriores al inicio de su migraña
  • El 21% (N = 3379) fueron diagnosticados de 2 a 5 años después del inicio de la enfermedad
  • El 15% (N = 2455) de los pacientes recibieron el diagnóstico más de 5 años después del inicio de los síntomas

1Resultados de la Encuesta alemana de pacientes con migraña sobre atención médica y experiencia en tratamientos profilácticos (EPISCOPE). Marie Groth, et al. https://www.ncbi.nlm.nih.gov/pmc/articles/PMC8931117/#CR4

El diagnóstico de la migraña es clínico. La clave es FOCALIZAR.

Características a tener en cuenta…

Clasificación de migraña

MIGRAÑA EPISÓDICA

  • Baja frecuencia: Entre 1 y 9 episodios al mes
  • Alta frecuencia: Entre 9 a 14 episodios al mes

MIGRAÑA CRÓNICA

Cefalea (tensión/ migraña) ≥ 15 días//mes en los últimos 3 meses

  • Al menos 5 ataques que llenen los criterios de migraña con y sin aura
  • 8 días al mes por > 3 meses de cefalea que llenan los criterios de migraña con y sin aura
  • Tratados y mejoría con triptanos o ergotaminicos antes de desarrollar los criterios mencionados anteriormente

MIGRAÑA SIN AURA

A. Al menos cinco crisis que cumplen los criterios B-D

B. Episodios de cefalea de 4-72 horas de duración (no tratados o tratados sin éxito)

C. La cefalea presenta al menos dos de las siguientes cuatro características:

  1. Localización unilateral
  2.  Carácter pulsátil
  3. Dolor de intensidad moderada o grave
  4. Empeora con o impide llevar a cabo la actividad física habitual (p. ej., andar o subir escaleras)

D. Al menos uno de los siguientes síntomas durante la cefalea:

  1. Náuseas y/o vómitos
  2. Fotofobia y fonofobia

E. No atribuible a otro diagnóstico de la ICHD-III


MIGRAÑA CON AURA

A. Al menos cinco crisis que cumplen los criterios B y C.

B. Uno o más de los siguientes síntomas de aura completamente reversibles:

  1. Visuales
  2. Sensitivos
  3. De habla o lenguaje
  4. Motores
  5. Troncoencefálicos
  6. Retinianos

C. Al menos tres de las siguientes seis características: 

  1. Propagación gradual de al menos uno de los síntomas de aura durante un período ≥5 min
  2. Se suceden dos o más síntomas de aura
  3. Cada síntoma de aura tiene una duración de 5-60 minutos
  4. Al menos uno de los síntomas de aura es unilateral
  5. Al menos uno de los síntomas de aura es positivo
  6. El aura está acompañada de o le sucede en los siguientes 60 minutos una cefalea

D. No atribuible a otro diagnóstico de la ICHD-III.

 

El diagnóstico de la migraña es clínico

¿Cuándo pedir estudios complementarios?

  • Cefalea de inicio reciente
  • Cefalea de larga data nunca estudiada con imágenes
  • Cefalea que cambia sus características
  • Sospecha de causas secundarias

¿Qué estudios pedir?

  • Laboratorio
  • Electroencefalograma (EEG)
  • Neuroimágenes

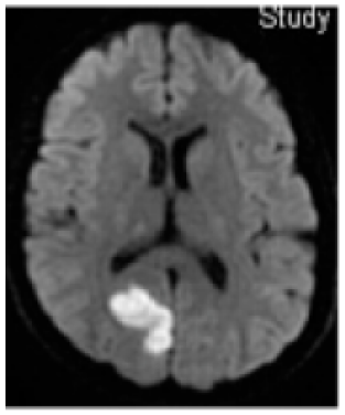
¿Qué podemos encontrar en neuroimágenes?

Mayor incidencia de lesiones inespecíficas (gliosis) de sustancia blanca (12 -47%).

  • 11% en la cuarta década
  • 83% en la séptima década

ABBV-AR-00225-MC